- Популярные видео
- Авто
- Видео-блоги
- ДТП, аварии
- Для маленьких
- Еда, напитки
- Животные
- Закон и право
- Знаменитости
- Игры
- Искусство
- Комедии
- Красота, мода
- Кулинария, рецепты
- Люди
- Мото
- Музыка
- Мультфильмы
- Наука, технологии
- Новости
- Образование
- Политика
- Праздники
- Приколы
- Природа
- Происшествия
- Путешествия
- Развлечения
- Ржач
- Семья
- Сериалы
- Спорт
- Стиль жизни
- ТВ передачи
- Танцы
- Технологии
- Товары
- Ужасы
- Фильмы
- Шоу-бизнес
- Юмор
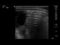
RSV Bronchiolitis Subpleural Consolidation on Mindray TE-X linear array transducer lung preset
6 m.o. Boy RR 40s, subcostal retractions with head bobbing, RSV pcr positive. Lung US using Mindray TE-X linear array transducer detects subpleural consolidation.
Pubmed:
https://pubmed.ncbi.nlm.nih.gov/22862998/
Images captured with Mindray TE-X, linear array transducer on lung preset.
Видео RSV Bronchiolitis Subpleural Consolidation on Mindray TE-X linear array transducer lung preset канала PoCUS4Peds
Pubmed:
https://pubmed.ncbi.nlm.nih.gov/22862998/
Images captured with Mindray TE-X, linear array transducer on lung preset.
Видео RSV Bronchiolitis Subpleural Consolidation on Mindray TE-X linear array transducer lung preset канала PoCUS4Peds
Комментарии отсутствуют
Информация о видео
25 февраля 2024 г. 15:30:01
00:00:18
Другие видео канала





















